歯列矯正用咬合誘導装置(ムーシールド®) 《取り外し式》就寝時+α使用
主に乳歯列期に使用します。型取りが必要ありません!
反対咬合(受け口)の機能的な原因(低位舌・鼻閉‐口呼吸・上口唇の過緊張など)を改善することにより、状態の改善を期待します。毎日続けて使用することで、効果を発揮します。
乳歯列が完成する3歳頃から使用可能ですが、4歳を過ぎる頃には上手に使えるようになります。早期に治療開始することで正常な成長発育を誘導します。
荻窪おぐに矯正歯科HOME診療案内矯正装置の種類:診療案内
荻窪おぐに矯正歯科で使用している主な矯正装置をご紹介します。
カウンセリングの時には矯正装置の模型を実際に触れていただき、詳しく説明いたします。
治療方針決定の際には患者さんのお仕事・学校などのライフスタイルやご要望と、その場合の治療の難易度等を併せて矯正装置の種類を話し合って決めていきます。
なお、それぞれの費用についての詳細は、費用のページをご覧ください。
主に乳歯列期に使用します。型取りが必要ありません!
反対咬合(受け口)の機能的な原因(低位舌・鼻閉‐口呼吸・上口唇の過緊張など)を改善することにより、状態の改善を期待します。毎日続けて使用することで、効果を発揮します。
乳歯列が完成する3歳頃から使用可能ですが、4歳を過ぎる頃には上手に使えるようになります。早期に治療開始することで正常な成長発育を誘導します。
乳歯列期・混合歯列期・永久歯列期に使用します。型取りが必要ありません!
口腔習癖(舌癖・指しゃぶり・吸唇癖・咬唇癖など)や機能的な原因(鼻閉‐口呼吸・口腔周囲筋の過緊張など)を改善することにより、状態の改善を期待します。
毎日続けて使用することで、効果を発揮します。
ケースによって【クアド・ヘリックス】を併用します。
主に顎が大きくなる混合歯列中期に治療します。
V字歯列や狭窄歯列を比較的早期に改善することで、正常な成長・発育を誘導します。
当院で最も使用頻度の多い装置です。裏側に装着するため目立ちません。
反対咬合や軽度の叢生(デコボコ)も改善可能です。
主に前歯が萌えそろう、混合歯列中期に治療します。 反対咬合や叢生(デコボコ)などを早期に改善することで、正常な成長・発育を誘導します。
ケースによって【クアド・ヘリックス】を併用します。⇒⇒⇒
当院の混合歯列期の治療はプラスチックブラケットを使用します。
主に混合歯列前期~中期に治療します。
骨格性の前歯部反対咬合(上顎骨の劣成長)の上顎骨の前方成長を促進させるために使用します。毎日続けて使用することで、効果を発揮します。
【クアド・ヘリックス】や【2×4セクショナル装置】を併用し、矯正用ゴムで牽引します。
主に混合歯列期~永久歯列期(成長期)に治療します。
臼歯部交差咬合などの著しい上顎の狭窄歯列の改善に使用します。
上顎は正中口蓋縫合というつなぎ目で左右がくっついています。これを利用して、名前の通り1~2か月で急速に側方に上顎歯列を拡大します。
主に混合歯列期~永久歯列期(成長期)に治療します。
臼歯部交差咬合などの著しい上顎の狭窄歯列の改善に使用します。
上顎は正中口蓋縫合というつなぎ目で左右がくっついています。これを利用して、名前の通り1~2か月で急速に側方に上顎歯列を拡大します。
透明感のある乳白色で、歯に溶け込み目立ちません。強度にすぐれているため、金属製のワイヤースロット(ワイヤーをはめるための溝)が入っていません。
また、ホワイトワイヤーとの相性抜群でほとんど気付かれません!
金属アレルギーの方にも使用できます。
透明感と光沢感があり、目立ちにくく、また、飲食による色素沈着がほとんどありません。
ワイヤースロット(ワイヤーをはめるための溝)にはゴールドを採用しており、目立ちにくく、また、歯の動きやすさも、メタルブラケットとほとんど変わりません。
金属なので薄くてとにかく丈夫です。とても小さいため、以前に比べて目立ちにくくなり、歯ブラシによるお手入れも比較的簡単にできます。
【ホワイト】や【トゥース】のカラーモジュールを使用すると、比較的目立ちにくくなります。
これは、ブラケットとワイヤーを固定するためのモジュールというゴムリングです。【メタル】・【プラスチック】・【セラミック】のブラケットに使うことが可能です。
透明で目立たないゴムリングもありますが、どの色を使うかは患者さんが毎月自由に決めることができます。
装置を裏側(舌=リンガル)に装着します。 矯正治療をしていることはわかりにくいので、誰にも気付かれずに綺麗な歯並びにすることができます。
敏感な舌の違和感や毎日の歯ブラシによるお手入れが表からの治療より難しくなるなどのデメリットもあります。
笑った時など下の歯があまり目立たない方などは、下の歯は表側に、上の歯は裏側にブラケットを装着することも可能です。
【セラミック】・【プラスチック】・【メタル】のブラケットが選択できます。 上下舌側矯正よりもリーズナブルで、違和感が少ないです。
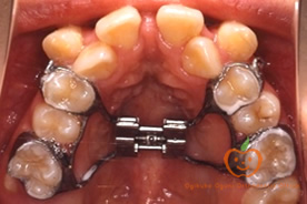
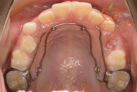
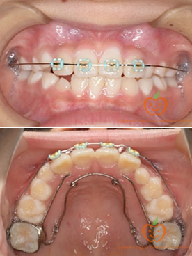
上顎の奥歯をコントロールするために使用します。
特に抜歯ケースで前歯を後退させる時に奥歯が負けないように固定するために使用します。
敏感な舌の違和感や発音しづらい場合があります。
歯科矯正用アンカースクリューを用いた矯正歯科治療とは、歯茎の骨にチタン製の矯正用インプラントスクリュー(小さなネジ)を植立し、これを支えに歯を動かします。これにより、歯をより効率的に、より確実に移動させることが可能になります。とても小さいので違和感はほとんどありません。
植立時や撤去時の痛みもほとんどありません。
透明なポリウレタン製のアライナーというマウスピースを装着します。 約1~2週に1個のペースで順次継続使用します。アライナー自体は透明で全く目立たず、ブラケットのような異物感もほとんどありません。 また、食事や歯みがき時は取外しできます!
※海外技工所で製作された海外技工物について
薬機法対象外の矯正装置であり、医薬品副作用被害救済制度の対象外となる場合があります。