ワックスを米粒大~小豆ぐらいにちぎる。
荻窪おぐに矯正歯科HOME診療案内矯正治療中のアドバイス:診療案内
歯は適切な力が加わると動きます。
この現象を利用するのが、歯列矯正です。
ただし、矯正治療は歯の動きの方向や量をコントロールする必要があるため、歯に【ブラケット】と【バッカルチューブ】という金具を接着し、その中に力の源である【(アーチ)ワイヤー】を挿入する必要があります。そのブラケットとワイヤーを固定するものが【リガチャーワイヤー】とゴム製の【モジュール】です。
その他にも様々な材料があります。
だんだん粘膜が強くなって気にならなくなりますが、もともと口内炎のできやすい方は、ご相談ください。
また、デコボコしている歯が並んでくると、【バッカルチューブ】の後ろから【ワイヤー】が飛び出てきます。
万が一、【ループ】や【フック】等が歯ぐきや唇や頬っぺたなどに食い込んで痛い場合はお早目にご来院ください。
(装置の破損の原因になりますので、無理にいじらずに以下の対処をしてみてください。)
アドバイス1
痛いときは、装着時にお渡ししたワックス(歯科矯正用粘膜保護剤)をご使用ください。
ワックスを米粒大~小豆ぐらいにちぎる。
唾液などで濡れていると取れやすいため、ワックスを付けたい場所をティッシュで拭う。
ワックスを付けたい場所に軽くくっつける。
ワックスが裏側にも入り込むように、まんべんなくゆっくり押し込むと取れにくいです。
ワックスの交換は指で簡単に行えます。
食事の後は必ずワックスを外してから、歯みがきしましょう!
アドバイス2
口内炎ができた方は、装着時にお渡しした口腔用軟膏(ケナログ®)をご使用ください。
アドバイス3
また、口内炎が装置と擦れて痛い場合は口腔内粘膜貼付剤(アフタシール®)をご用意しております。
これは、骨の中で歯の根を包んで支えている膜(歯根膜)の血行が一時的に悪くなるためで、心配ありません。数日で元通りになります。
アドバイス4
このような状態のときは、柔らかい食べ物をゆっくり食べるようにしてください。
また、塩湯でうがいをし、指や歯ブラシで歯ぐきをマッサージすると、血液の循環が良くなって少し楽になります。
アドバイス5
どうしても痛みが我慢できない場合は、装着時にお渡しした解熱鎮痛剤(カロナール®錠)を服用してください。このお薬は抗炎症作用を有していないため、歯の移動を阻害しません。ただ鎮痛効果は弱めです。
アドバイス6
歯列矯正用咬合誘導装置(マルチファミリーMULTI-TB)を装着すると粘膜がこすれて痛くなることがありません。
また、上下の歯が〝カチカチ〟当たる痛みが軽減されます。
矯正治療中は基本的に今まで通りの生活が可能ですが、装置が壊れるとワイヤーが粘膜などに刺さったり、歯みがきが難しくなったりしてしまいます。また歯の動きをコントロール出来なくなるため、治療期間に影響してしまいます。
装置が壊れる原因になりますので以下をご注意ください。
※アメ玉、氷、棒アイスなど
できるだけ咬まずになめましょう!
※ねばねばするもの(キャラメル、餅、ガムなど) 装置にくっついてしまい、外れたり、みがき残しの原因になります。
万が一、装置が外れてしまった場合や壊れてしまった場合はお早目にご来院ください。
アドバイス
装置が壊れ、粘膜などに刺さり痛みがある場合は来院までの間、装着時にお渡ししたワックス(歯科矯正用粘膜保護剤)をご使用いただくか、ガーゼをあてがってください。
痛みが続く場合は破損の可能性が高いので、鏡や指先でよく確認してみてください。
※【ブラケット】や【バッカルチューブ】が外れてしまった場合
通常痛みを伴いませんが、歯の動きや歯みがきに悪影響を及ぼします。
また、【ゴム】を掛ける場所が外れた場合は【ゴム】の使用を休止してください。
※一番後ろの【バッカルチューブ】が外れてしまった場合
一番後ろの金具が外れると、【アーチワイヤー】が歯ぐきや頬っぺたに食い込むことがあります。
※【アーチワイヤー】(太いワイヤー)が折れてしまった場合
前に軽くそっと引いて抜けなければ、無理に引き抜かず、ワックスで固定してください。
※【リガチャーワイヤー】(細いワイヤー)の先が飛び出てしまった場合 割りばしの先で押し込んでみてください。
矯正装置を装着すると、どうしても歯みがきが難しくなってしまいます。
スタッフ一丸となって患者様一人一人の歯みがき方法を検討致します。
歯みがきに自信のない方はいつでもご相談ください。
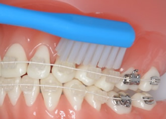
まず、装置を中心に上・下に分けてみがきます。その際、歯ブラシを斜めに傾けて歯に当ててください。


次に歯肉炎予防のために歯と歯茎(はぐき)の境目をみがいていきます。

アドバイス!
みがき飛ばしを防止するため、奥歯から前歯に向かって順番に繰り返しみがいてください。 装置の付いている表側が終わったら、装置のついていない裏側(舌側)や咬む面も忘れずに!
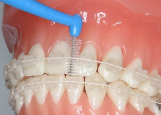
ワイヤー下部の歯と歯の間などはプラークが残りやすい部位です。
写真のようにワンタフトや歯間ブラシをワイヤーの下に通してみがき、仕上げします。


特に奥歯の装置周囲に食べ物がからまったりして残りやすいので、念入りにみがきましょう!

また、矯正装置をつけるとワイヤーが障害になってデンタルフロスを今までの様に通すことができません。
デンタルフロスをワイヤーの下にくぐらせてからフロッシングしてください。

挿入ガイド付きの矯正用のフロスをご使用いただくと、比較的容易にワイヤーの下に通すことができます。


